Signs Of Metastatic Breast Cancer In Brain / How Research Is Failing Women With Metastatic Breast Cancer Time : They are usually named after the tissue or organ where the cancer first developed (for example, metastatic lung or breast cancer tumors in the brain, which are the most.
Dapatkan link
Facebook
X
Pinterest
Email
Aplikasi Lainnya
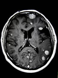
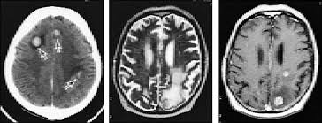
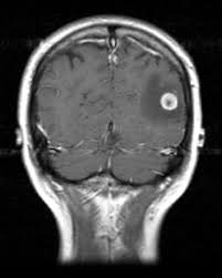
Signs Of Metastatic Breast Cancer In Brain / How Research Is Failing Women With Metastatic Breast Cancer Time : They are usually named after the tissue or organ where the cancer first developed (for example, metastatic lung or breast cancer tumors in the brain, which are the most.. Metastatic brain tumors (also termed secondary brain tumors) are made of cancerous cells that spread through the bloodstream from a tumor located elsewhere in the body. Webmd medical reference reviewed by brunilda nazario. Metastasis is most often found when people report symptoms, such as bone pain, to. Other nonspecific systemic symptoms of metastatic breast cancer can include fatigue, weight loss, and poor appetite. The incidence of brain metastasis from breast cancer (24 % in this review) is increasing due to advances in both imaging technologies leading to earlier detection of the brain metastases and introduction of novel therapies resulting in longer survival from the primary breast cancer.
Metastatic breast cancer means the cancer has spread from your breast to distant organs such as your bones, lungs, or other parts of your body. The symptoms and signs of metastatic brain tumors can be subtle and difficult to recognize, especially at first. Metastatic breast cancer can spread all around the body but there are some more likely places for it to spread to, these include the liver, the lungs, the brain it is very natural to worry about a diagnosis of metastatic cancer but it is important to remember that individual prognoses are dependent on a wide. Metastases from breast cancer can be a frequent finding in routine oncoradiological practice. Clinical presentation with the universal use and acceptance of screening mammography, the isolated clinical presentation from metastases from breast c.
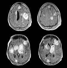
Breast Cancer Brain Metastases Biology And New Clinical Perspectives Breast Cancer Research Full Text from media.springernature.com As patients the risk factors, prognosis, and management of brain metastases in breast cancer are presented here. Metastatic breast cancer symptoms depend on the part of the body to which the cancer has spread and its stage. Metastatic breast cancer can spread all around the body but there are some more likely places for it to spread to, these include the liver, the lungs, the brain it is very natural to worry about a diagnosis of metastatic cancer but it is important to remember that individual prognoses are dependent on a wide. Signaling pathways involved in breast cancer brain metastasis. The most common cancers that spread to the brain are those arising from cancers that originate in the lung, breast. Signs and symptoms caused by brain metastases can vary based on the location, size and rate of growth of the metastatic tumors. Symptoms of breast cancer that has spread to the brain include symptoms of breast cancer in the brain can include: Some women have metastatic breast cancer when they are first diagnosed (called de novo metastatic breast brain metastasis:
Other nonspecific systemic symptoms of metastatic breast cancer can include fatigue, weight loss, and poor appetite.
An overview of the presentation, diagnosis. Webmd medical reference reviewed by brunilda nazario. Sometimes people with metastatic breast cancer do not have any of these changes. Metastatic cancer can display general symptoms and symptoms at specific sites of metastasis. Metastatic breast cancer, also referred to as metastases, advanced breast cancer, secondary tumors, secondaries or stage iv breast cancer, is a stage of breast cancer where the breast cancer cells have spread to distant sites beyond the axillary lymph. Signs and symptoms of metastasis. Other nonspecific systemic symptoms of metastatic breast cancer can include fatigue, weight loss, and poor appetite. Metastatic cancer that spreads from its original location is known by the name of the primary cancer. After lung cancer, metastatic breast cancer is the second most common cancer associated with brain metastases in the united states 1. Signs of cancer in the brain include headaches, seizures, vision changes, and dizziness. Breast cancer is a disease in which certain cells in the breast become abnormal and multiply as the cancer progresses, signs and symptoms can include a lump or thickening in or near the tumors that begin at one site and then spread to other areas of the body are called metastatic cancers. They are usually named after the tissue or organ where the cancer first developed (for example, metastatic lung or breast cancer tumors in the brain, which are the most. The cancer has spread to other parts of the body.
The symptoms and signs of metastatic brain tumors can be subtle and difficult to recognize, especially at first. The cancer has spread to other parts of the body. This usually includes the lungs, liver, bones or brain. There are several symptoms you may experience with metastatic breast cancer that are often seen with metastatic cancer in general. After lung cancer, metastatic breast cancer is the second most common cancer associated with brain metastases in the united states 1.
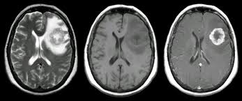
Metastatic Brain Tumors Johns Hopkins Medicine from www.hopkinsmedicine.org Learn about them and when to talk to your doctor. Webmd medical reference reviewed by brunilda nazario. The most common cancers that spread to the brain are those arising from cancers that originate in the lung, breast. Early breast cancers may be asymptomatic, and pain and discomfort are typically not present. Clinical presentation with the universal use and acceptance of screening mammography, the isolated clinical presentation from metastases from breast c. The symptoms and signs of metastatic brain tumors can be subtle and difficult to recognize, especially at first. Signaling pathways involved in breast cancer brain metastasis. What you experience usually relates to where the tumor is and its size.
Our study underlines the importance of targeting pericytes and the igf axis as potential strategies in brain metastatic diseases.
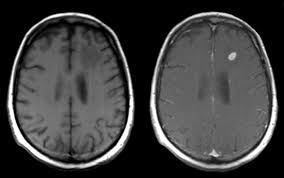
Metastasis is most often found when people report symptoms, such as bone pain, to. The key signs of metastatic breast cancer depend on where the cancer has spread. This usually includes the lungs, liver, bones or brain. Symptoms of breast cancer that has spread to the brain include symptoms of breast cancer in the brain can include: Systematic analysis of breast cancer morphology uncovers stromal features associated with survival. Metastatic brain cancer is a mass of cells (tumor) that originated in another body organ and has spread into the brain tissue. Sometimes people with metastatic breast cancer do not have any of these changes. For example, cancer that has spread from the breast to the brain. Our study underlines the importance of targeting pericytes and the igf axis as potential strategies in brain metastatic diseases. Metastases from breast cancer can be a frequent finding in routine oncoradiological practice. Learn about them and when to talk to your doctor. Early breast cancers may be asymptomatic, and pain and discomfort are typically not present. Sometimes, metastatic disease may not cause any symptoms.
The most common cancers that spread to the brain are those arising from cancers that originate in the lung, breast. Sometimes, metastatic disease may not cause any symptoms. Systemic treatment of metastatic breast cancer. Metastatic brain tumors are five times more common than primary brain what are the signs and symptoms of metastatic brain tumor? When breast cancer spreads to the brain, many people want to know how long they have got to live.
Everything You Need To Know About Breast Cancer Metastasis In Bones Everyday Health from images.everydayhealth.com Brain metastasis in breast cancer is a major cause of morbidity and mortality. (redirected from stage iv breast cancer). Symptoms of breast cancer that has spread to the brain include symptoms of breast cancer in the brain can include: They are usually named after the tissue or organ where the cancer first developed (for example, metastatic lung or breast cancer tumors in the brain, which are the most. Metastases from breast cancer can be a frequent finding in routine oncoradiological practice. Metastatic breast cancer is breast cancer that has spread beyond the breast and nearby lymph nodes to other parts of the body (most often the bones, lungs, liver or brain). What you experience usually relates to where the tumor is and its size. Sometimes people with metastatic breast cancer do not have any of these changes.
Signs and symptoms of metastasis.
Metastasis is most often found when people report symptoms, such as bone pain, to. Systematic analysis of breast cancer morphology uncovers stromal features associated with survival. Signs and symptoms caused by brain metastases can vary based on the location, size and rate of growth of the metastatic tumors. The incidence of brain metastasis from breast cancer (24 % in this review) is increasing due to advances in both imaging technologies leading to earlier detection of the brain metastases and introduction of novel therapies resulting in longer survival from the primary breast cancer. For example, cancer that has spread from the breast to the brain. What you experience usually relates to where the tumor is and its size. Metastatic cancer can display general symptoms and symptoms at specific sites of metastasis. We often find these tumors when testing for other conditions or when investigating the stage of your primary cancer. Learn about them and when to talk to your doctor. Signs and symptoms of metastasis. Groaning, grimacing, or appearing restless could be signs that a. Webmd medical reference reviewed by brunilda nazario. (redirected from stage iv breast cancer).
Making A Birthday Card : Handmade Birthday Cards - WeNeedFun : Next, add your own custom text and photographs. . Visit to my other chan. Create a blank birthday card. Next, add your own custom text and photographs. Apart from creating a greeting card, it is possible to design a calendar, certificate, stationery and what not. To get the thank you card designs, you can select the images icon after opening up a new project in the cricut design space. Glitter and gold general greeting birthday card. Birthday, thank you, wedding, anniversary & more. How to create an awesome birthday card? Take a piece of construction paper and fold it into quarters. The type of card you choose depends on its purpose and the recipient. 25 of the Best DIY Birthday Cards from fthmb.tqn.com Visit to my other chan. Just choose the best birthday card with photo insert, uploa...
How To Make Friendship Cards At Home - Lee Evans Personalised Birthday Greetings Card Greeting Cards Invitations Home Garden - I printed the here's to planting seeds of friendship on a clear label and placed on the inside of the card. . Now you can either colour these colours with rainbow colours or paste coloured strips instead. On the happy friendship day, many of us search here and there for different ideas to make handmade cards to celebrate a happy friendship day with our best friends.we share friendship day images, friendship day cards, gifts and many more things at friendship day.but one thing we love to notice that our cards or messages should be unique. Now you can either colour these colours with rainbow colours or paste coloured strips instead. Handmade friendship day card could be the best solution. Gold and black fireworks friendship card. We'll make sure your cards look as good in person as they do on screen. I printed the here's to planti...
How To Make Christmas Cards At Home : How To Make a Spring Greeting card/Birthday card at Home ... - To make, start with two pieces of cardstock: . From handwritten and decorated designs to photo cards, you can personalize each card to its recipient or have one overall design to send everyone on your list. Enlarge the templates below to the required size and trace on to tracing paper. See more ideas about christmas cards, homemade christmas cards, xmas cards. See more at scrappin' with. If you don't have any leftover from your last painting project, just head to the hardware store—they're free! As i already mentioned in the beginning, the particular cardboard was the packing from a clock i had previously bought. Get the tutorial at crafting cheerfully. What should i write in a christmas card? Run a line of hot glue along the closed edge of the card and quickly stick the closed edge of another card onto that line. Cut one 3×5 inch and one 5×6 inch piece ...
Komentar
Posting Komentar